{{ 'fb_in_app_browser_popup.desc' | translate }} {{ 'fb_in_app_browser_popup.copy_link' | translate }}
{{ 'in_app_browser_popup.desc' | translate }}
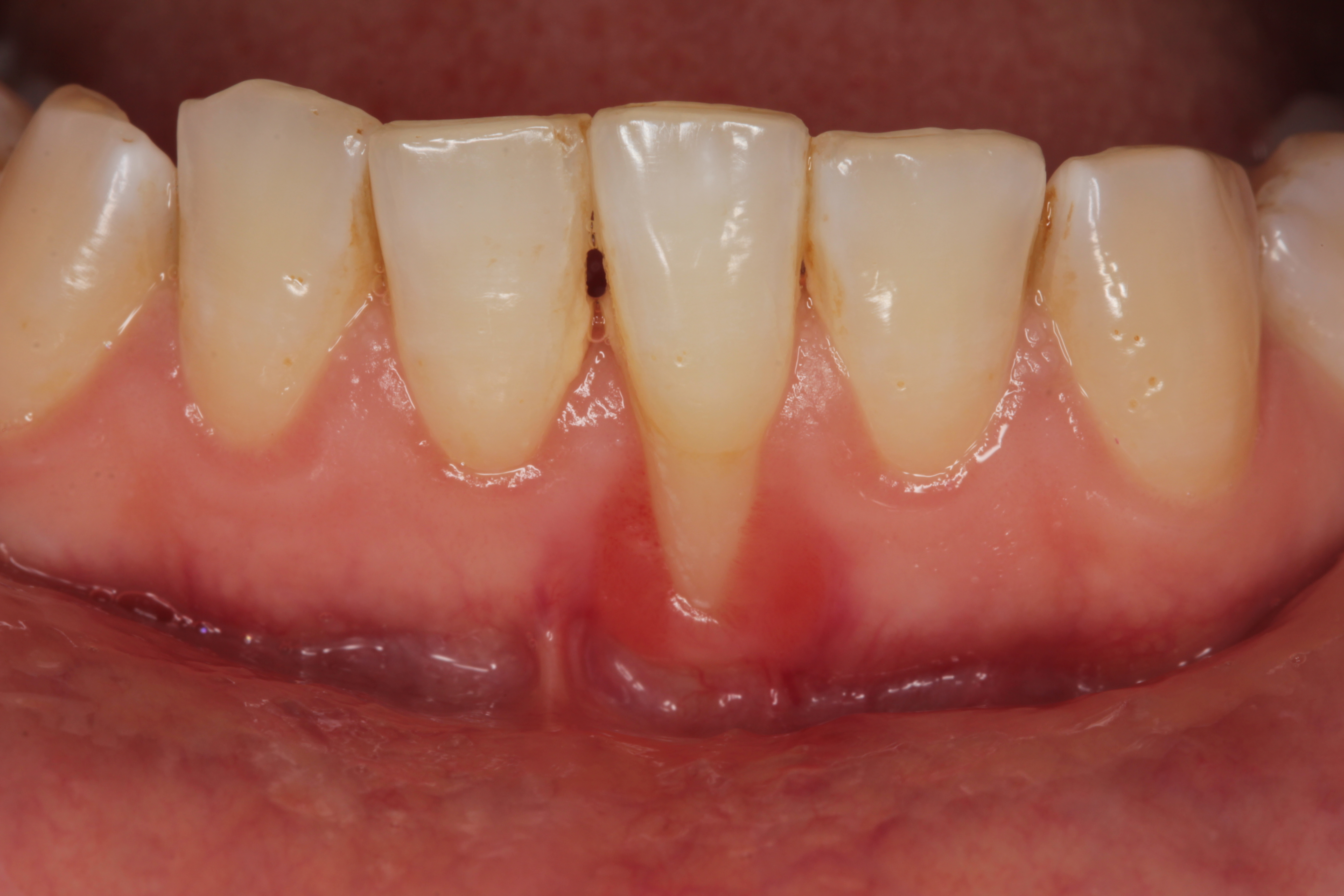
診間經常有患者詢問:「醫師,為什麼我用了美白牙齒產品後,牙齒變得痠軟、甚至牙齦還會刺痛?」
擁有一口亮白牙齒本應是件充滿自信的事,若因產品選擇或操作方式不當而引發牙齒敏感,確實容易讓人中斷美白,甚至造成口腔負擔。
牙醫師解析:為什麼美白有時會引發敏感?出現不適時該如何處理?又有哪些方式能讓居家美白更溫和、安全?
希望能讓正準備展現亮白笑容的民眾,找到真正安心、有效的美白方案。

美白牙齒產品的功效主要來自於過氧化氫或過氧化脲這類成分,它們能分解牙齒的色素分子,讓牙齒恢復潔白。但這些成分可能引起牙齦敏感或紅腫;成分在氧化作用時也會造成牙齒表面出現微小孔隙,易使牙齒變得敏感、痠軟。
最常見的幾個原因是:
過氧化氫濃度過高
部分市售產品強調「快速見效」,會使用較高濃度的美白劑。雖然在法規許可範圍,也確實能在短時間內讓牙齒變白,但同時也增加了牙齦被刺激的風險。
使用時間過長
有些患者認為「時間拉長,效果更好」,因此把美白牙托戴得比建議更久。事實上,藥劑長時間停留,不僅會讓牙齦受刺激,還可能滲入牙本質,引起牙齒痠軟。
口腔原本就有傷口或發炎
如果牙齦本來就有小傷口,或正處於牙齦炎、牙周炎狀態,美白成分更容易滲入組織,導致明顯刺激與不適。因此,牙醫師通常會提醒,在進行任何美白療程前,一定要先確認口腔的狀況是穩定的。
此外,睡眠不足、作息不規律也會降低免疫力,使牙齦更容易出現腫脹或敏感,進而加劇美白時的不舒服感。
若想安全且有效地完成美白,不僅需要選擇適合的產品,也必須維持良好口腔衛生與規律作息,確保牙齦處於健康、穩定的狀態,才能讓美白過程更溫和順利。

牙齦敏感若未處理,可能帶來的後果:
許多人以為牙齦敏感只是小問題,「忍一忍就好」。但臨床上常見的情況是:若長期忽視,不僅會讓敏感加劇,還可能引發以下一連串影響口腔健康的問題:
1. 影響口腔清潔習慣
為了減少不適,許多人會下意識降低刷牙力道,甚至減少刷牙次數。但這會造成牙菌斑堆積,使蛀牙與牙周病風險明顯升高。
2. 改變飲食習慣
牙齦敏感者經常避免攝取酸、辣、冰、燙等刺激性食物,有些人甚至改吃較軟或較不需要咀嚼的食物。長期下來,不僅飲食均衡受影響,也可能使牙齒與咀嚼功能逐漸退化。
清潔不足與飲食受限,再加上不當的美白操作,確實會提高琺瑯質受損、牙齒痠軟與敏感加劇的風險。這也是許多患者常提出的疑問:「美白牙齒會不會傷牙?」
牙醫師的答案是:若方式或產品選擇不正確,確實可能造成傷害。
在美白過程中若出現牙齦敏感,不必過度緊張,但也不能置之不理。以下是牙醫師常見的建議方向:
暫停美白療程
先暫停使用美白產品,讓牙齦有足夠的時間休息與修復。多數輕微的不適通常在數天內便能緩解。
避免刺激性食物
這段期間應減少攝取酸性水果、辛辣料理,並避免過冰或過燙的飲品,以免造成二次刺激,影響牙齦恢復。
換用溫和性牙膏
建議改用具修護成分並含氟的溫和型牙膏,有助於在牙齒表面形成保護層並強化琺瑯質,進而降低敏感症狀。
選用軟毛牙刷
過硬的刷毛容易造成琺瑯質磨損與牙齦再次受傷。換成軟毛牙刷並搭配正確刷牙方式,有助於減輕不適並維持口腔清潔。
尋求專業協助
若牙齦出血、紅腫持續超過兩週仍未改善,便可能不是單純的美白刺激。此時應盡快就診,確認是否存在牙周問題並接受適當治療。
對許多人而言,到診所進行冷光美白或噴砂美白並非最便利,因此居家美白成為常見的替代選擇。若想降低牙齒敏感風險,操作方式與產品選擇至關重要。以下為牙醫師所提供的建議方向:
無論是由牙醫診所製作,或是購買可自行塑型的客製化牙托,都應確保牙托能與牙齒貼合,減少美白藥劑外漏至牙齦,避免造成多餘刺激。
搭配修護成分
選擇標榜能修護牙齒、或能幫助琺瑯質再礦化的產品,例如奈米化的矽、鈣、磷離子,或是氟化物,能降低牙齦不適,減少牙齒痠軟的狀況。
切勿貪快或自行延長使用時間。應依照產品或醫師指示的濃度與時間操作,讓美白效果與牙齒健康取得平衡。
全方位保養
搭配美白牙膏與適合的漱口水,提高日常清潔與色素控制效果,更有助於長期維持牙齒亮白與口腔健康。

不少牙齦敏感、牙齒容易痠軟的民眾都會詢問:在家應該如何選擇較溫和、安全的美白產品?
依照徐瑩醫師的專業建議,挑選兼具修護與亮白效果的居家美白產品更能減少敏感風險,而 Lab52 齒妍堂的美白系列正符合這項方向,原因包括:

3%雙重活氧美白因子.7天美白5色階1!
美白成分與濃度經專業核可,不僅能有效溶解牙齒黃漬,更添加「專利護齒技術MesoFill2」:將近似於牙齒骨骼成分的矽、鈣、磷離子滲透至牙齒幫助再礦化,能深層修護牙齒、降低美白後刺激不適,達到防止色素再附著的效果2,大大解決一般人想美白又怕敏感的問題。而高含氟量「氟化物(1450ppm)」,更能幫助強健牙齒、抗酸蝕。

輕奢藍礦微晶.溫和拋光亮白
跟深層美白牙膏不同,藍礦淨白牙膏的作用原理是透過嚴選來自美國大峽谷的頂級藍礦微晶,針對牙表面殘留的牙漬與茶垢進行研磨拋光,使用感受更加溫和。一樣添加了「氟化物(1200ppm)」與「專利護齒技術MesoFill2」,讓牙齒在亮白的同時獲得修護,降低刺激感2。

超高效美白.7天美白6.5色階3
這款居家美白牙托,是目前台灣市面上相當亮眼、且客製化程度很高的齒美白產品之一。
跟深層美白牙膏的作用原理相同,但美白效果更強:齒色7天最高提升6.5個色階3!
內容物有2劑:第1劑-深層美白;第2劑-修護抗染。
等於札實的美白完之後,再好好的針對美白完的牙齒進行修護、於牙齒表面形成防護層,降低色素再附著,同時減少痠軟與刺激感³。且在家就能依照自己的齒型客製化製作牙托,美白效果更加均勻,也不會有過多的藥劑流出刺激牙齦。
不論是需要長期維持專業形象的上班族、愛喝咖啡與茶又擔心牙齒染色的朋友,還是平常容易有牙齦敏感卻又希望舒適追求亮白效果的人,其實都能在齒妍堂找到適合自己的產品。核心原則始終一致:牙齒美白必須循序漸進,並以溫和持續的方式進行,方能兼顧亮白與健康。

本文由年度證言醫師-徐瑩牙醫師提供專業觀點,內容經品牌整理後發佈。產品相關資訊請依包裝標示為準。
需配合正確刷牙習慣,使用效果因人而異。1經實驗證實,連續使用7天深層美白牙膏齒色最高可下降5色階。2經實驗證實MesoFill可封填牙本質小管,增加牙齒表面再礦化程度,降低敏感性牙齒不適,連續使用齒色可有感下降。且可於牙齒表面形成防護層,減少色素再附著。3經實驗證實連續使用7天,齒色最高可下降6.5色階(N=17),使用效果因人而異。